瑞士肠卷

瑞士肠卷

内容详情 在线咨询

瑞士肠卷详情介绍:取5cm-7cm完整肠道正常固定后用剪刀将肠道剖开PBS涮洗干净肠道内容物后做成瑞士卷肠可观察整个肠道粘膜情况,扩大观察范围,增加切到炎症,溃疡等的几率。

操作流程:

     1,肠道纵向刨开,用PBS涮洗干净肠道内容物

             2,卷肠成团用扎针固定

             3,常规脱水包埋

肠卷包埋蜡块:

蜡块.jpg

肠卷阿利新蓝染色

阿利新蓝.jpg阿利新蓝.jpg阿利新蓝11.jpg

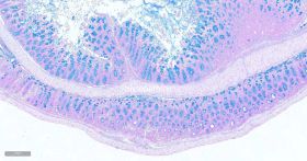
肠卷HE染色

HE-瑞士卷.jpg

送样运输要求:

5cm-7cm无破损肠道常规多聚甲醛固定后常温运输

* 订单数量:

必须是数字

* 客户姓名:

不能为空

* 电子邮箱:

E-mail格式不对

* 手机:

手机号格式不对

* 详细地址:

不能为空

* 客户留言:

不能为空

服务热线

15157931817

微信服务号