特殊染色

苏丹Ⅲ染色

内容详情 在线咨询

苏丹Ⅲ染色原理:

        脂类包括脂肪和类脂,根据其性质可分为中性脂肪、脂肪酸、胆固醇、磷脂及其他类脂质。中性脂类包括甘油三酯、胆固醇、类固醇及糖酯等。酸性脂类包括脂肪酸和磷脂等。各种脂肪与类脂质在体内都是混合存在的。体脂主要为中性脂肪。类脂的功能为与蛋白质、糖类结合构成细胞的基本成分。脂质的共同物理性质为不溶于水而易溶于乙醇、乙醚、四氯化碳等有机溶剂,因此,选择固定剂是应避免用有机溶剂。脂质理想的固定剂是甲醛钙或10%中性缓冲福尔马林。脂肪染色切片要用冰冻切片。

染色步骤:

1、新鲜组织低温切片,一般-20℃~-25℃。

2、冰冻切片6~15μm(6~8μm为佳),贴于载玻片上。

3、70%乙醇稍洗。

4、苏丹Ⅲ液染色1~5min。

5、70%乙醇稍洗,蒸馏水洗1min。

6、Mayer苏木色精染胞核15s。蒸馏水冲洗。

用滤纸将切片及周围的水分吸去,让其稍微干燥。

10、甘油明胶封固。

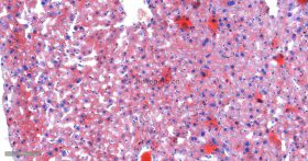
染色结果分析:中性脂肪呈橙红色,细胞核呈蓝色。


* 订单数量:

必须是数字

* 客户姓名:

不能为空

* 电子邮箱:

E-mail格式不对

* 手机:

手机号格式不对

* 详细地址:

不能为空

* 客户留言:

不能为空

服务热线

15157931817

微信服务号